婴儿牙齿发黄是怎么回事
大额优惠券阅读:6032025-09-30 21:27:13评论:6
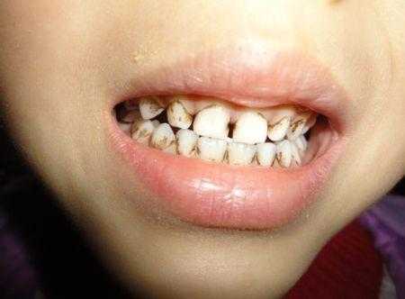
婴儿牙齿发黄,常见原因有奶渍残留、龋齿,还有水质问题。
我家宝宝小时候,喝完奶没及时擦嘴或者刷牙,牙齿上就会有奶渍残留,时间长了就黄黄的。后来才知道,喝完奶得用纱布擦擦牙床和牙齿,这样能少积奶渍。

要是牙齿发黄还带着小黑点,可能是龋齿。这得注意,乳牙龋坏发展快,疼起来宝宝遭罪,得赶紧看牙医。我邻居家娃就是没重视,后来龋齿疼得直哭。
有些地方水质含氟量高,长期喝也可能让牙齿发黄。所以给宝宝喝水,尽量选安全的水源。像我们这小区之前水质不太稳,我就给娃买矿泉水泡奶,就怕影响牙齿。
反正发现宝宝牙齿发黄,先观察是哪种情况,及时处理才好。

确实很便宜,还是旗舰店发货的最起码能保证是真货
铁粉来报,刚看了下领券记录,这两年用了三万多块钱的券,信息差真的很重要
厂家抽风的时候券后1毛钱一提的黑金帮你敢信?
我有的是时间,你就告诉我咋薅就行
不知道怎么进群的加我V:chongdien
你们都在哪领的啊0.0